(その他の症例についてはトップページからリンクしてあります。)
小学生の上顎前突では口呼吸が原因となっている場合は、口呼吸をやめ、適切な装置を使うことによって下顎の成長が促され、歯並びが改善することがあります。しかし、口呼吸の癖が残っていると、装置をやめれば再び上顎前突になってしまいます。せっかく治療したのに後戻りするのは悲しいことです。長く安定したかみ合わせが維持できるように指導していきます。
また、上顎前突の場合は上の奥歯を後ろにさげていく非抜歯での治療法もありますが、一般的に日本人は上顎の後ろが狭いことが多く、奥歯を後ろに移動するのに十分な骨がありません。長年の咬合負荷に耐えるため奥歯は骨にしっかりと埋まっていなければなりません。横に拡大し見かけ上治療する方法もありますが、治療後の安定性が悪くなります。エナメル質の範囲内で歯を削る方法もありますが、自分が年齢を重ね唾液が少なくなり虫歯ができやすくなったのを鑑みると、長い目でみるとやはりほんの少しの削合量にするべきだと考えております。どの方法が適しているかは患者様の希望もふまえ判断致します。

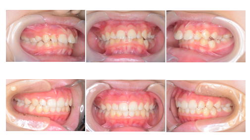
主訴:前歯が出ている
診断名:上顎前突
年齢: 11歳
装置名:可撤式上顎前突用筋機能活性化装置
治療費(施術料 装置料 調整料): 31万(税込み)
治療期間:1年6か月)
考えられるリスク:口呼吸の復活による後戻り
非抜歯で下あごの成長を促進するとともに、口呼吸の改善を行うため各種訓練を行いました。
口呼吸が復活した場合は後戻りが生じるためU期治療が必要となり、場合によっては抜歯が必要になります。しっかりと管理していくことが重要です。
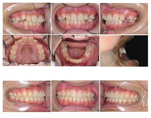
主訴:前歯が出ている ガタガタ
診断名:叢生を伴う上顎前突
年齢: 15歳
装置名:マルチブラケット装置
治療費(施術料 装置料 調整料): 63万(税込み)
矯正用アンカー2本・薬:41600(税込み)
治療期間:1年8か月
考えられるリスク:矯正歯科治療に伴う一般的なリスク
(歯根吸収、虫歯、歯周病、歯の移動時の痛みなど)
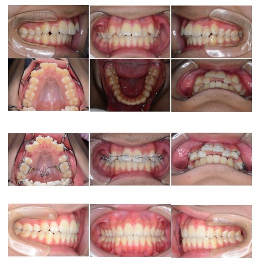
主訴:前歯が出ている
診断名:上顎前突
年齢: 11歳
装置名:ヘッドギアー マルチブラケット装置
治療費(施術料 装置料 調整料): 60万(税込み)
治療期間:2年8か月(観察期間含む)
考えられるリスク:矯正歯科治療に伴う一般的なリスク
(歯根吸収、虫歯、歯周病、歯の移動時の痛みなど)
ヘッドギアーで上の奥歯を後ろに下げたあと、経過観察を行い、マルチブラケット装置で歯を並べました。