本文へスキップ

グレイス矯正歯科クリニックは広島市南区広島ゆめタウン近くの矯正歯科治療専門の歯科医院です

電話でのご予約・お問い合わせはTEL.082-205-0464

電話受付時間 月〜金 10時半〜18時半
          土曜日 10時半〜17時半

部分矯正(気になるところだけ)

 上下のかみ合わせを調和のとれた状態にすることによって、スムーズな顎運動が可能となり、特定の歯に負担がかかるということがありませんので、基本的には全顎的な治療をおすすめしますが、「時間がない」「予算がない」などの場合は部分的な矯正治療を行っています。



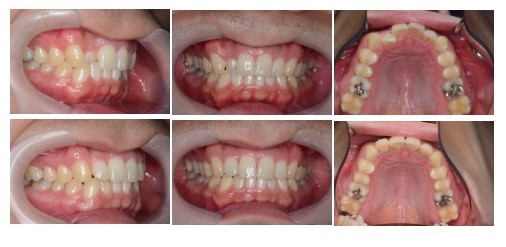
主訴:歯のガタガタ
診断名:上下顎叢生
年齢: 34歳
装置名:マルチブラケット装置
治療費(施術料 装置料 調整料): 25万(税込み)

治療期間:5か月
考えられるリスク:矯正歯科治療に伴う一般的なリスク
       (歯根吸収、虫歯、歯周病、歯の移動時の痛みなど)                 


スタッフ写真

Clinic  info.

グレイス矯正歯科
クリニック

〒734-0007
広島市南区皆実町5-14-1
ライオンズプラザ皆実町203号室
TEL.082-205-0464
FAX.082-578-1322
→アクセス






crowd.htmlへのリンク