ガタガタを改善する場合、横に拡大する、奥歯を後ろに下げる、前に出す、歯を削って細くするなどの非抜歯治療が可能なこともあります。奥歯を後ろに下げる方法は日本人は上顎下顎ともに、後ろに歯が並ぶだけの余裕がないことが多いです。奥歯は「食べ物をかみ砕く」という長年の力の負荷に耐えられるよう、しっかりと骨の上に生えていなければなりません。横への拡大でも拡大によりぐんぐん骨が添加されていけばよいのですが、限界もあり、無理な拡大により、歯茎に隠れて外からはわからないものの、歯の一部が骨から露出することもあります。子供の上顎骨急側拡大は骨ごと拡大することができるので当院でもしばしばする施術ですが、下顎に関してはもともと骨の幅が狭いこともあり、拡大量は注意して設定しなければなりません。大事なのはガタガタの程度を計算し、どの程度拡大をするかを適切に設定することです。
また、長期に安定しやすく、審美性も考慮しなければならないと当院では考えており、理想とする横顔等もお聞きしながら抜歯非抜歯は慎重に決定いたします。

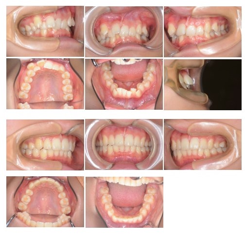
主訴:歯のガタガタ
診断名:上下顎叢生
年齢: 24歳
装置名:マルチブラケット装置
治療費(施術料 装置料 調整料): 63万(税込み)
治療期間:1年7か月(他の疾病による入院期間除く)
考えられるリスク:矯正歯科治療に伴う一般的なリスク
(歯根吸収、虫歯、歯周病、歯の移動時の痛みなど)

主訴:歯のガタガタ
診断名:過蓋咬合 上下顎叢生
年齢:15歳
装置名:マルチブラケット装置
治療費(施術料 装置料 調整料): 68万(税込み)
インプラントアンカー2本・薬:41600円(税込み)
治療期間:2年2か月
考えられるリスク:矯正歯科治療に伴う一般的なリスク
(歯根吸収、虫歯、歯周病、歯の移動時の痛みなど)
左右どちらかにガタガタが偏っている場合には顔の真ん中と歯の真ん中がずれていることがあります。
このような場合は抜歯をして顔の真ん中と歯の真ん中をあわせ、よりすっきりと整った雰囲気に仕上げることが肝心です。
拡大治療(子供)作成中です。