本文へスキップ

グレイス矯正歯科クリニックは広島市南区広島ゆめタウン近くの矯正歯科治療専門の歯科医院です

電話でのご予約・お問い合わせはTEL.082-205-0464

電話受付時間 月〜金 10時半〜18時半
          土曜日 10時半〜17時半

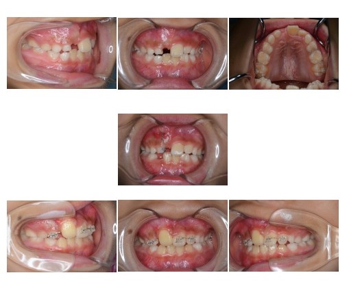
埋伏歯(歯が生えてこない)


                   


主訴:前歯がはえてこない
診断名:上顎右側中切歯埋伏
年齢:8歳
装置名:マルチブラケット装置 リンガルアーチ
治療費(施術料 装置料 調整料): 25万(税込み)
治療期間:6か月
考えられるリスク:矯正歯科治療に伴う一般的なリスク
       (歯根吸収、虫歯、歯周病、歯の移動時の痛み、牽引する歯の歯肉退縮、歯の癒着)

スタッフ写真

Clinic  info.

グレイス矯正歯科
クリニック

〒734-0007
広島市南区皆実町5-14-1
ライオンズプラザ皆実町203号室
TEL.082-205-0464
FAX.082-578-1322
→アクセス






crowd.htmlへのリンク