反対咬合は治療の要望が多い不正咬合の一つです。乳歯から永久歯に生え変わるときに自然に治ることがありますが、永久歯に生え変わっても治らない場合、治療を開始します。
身長の伸びと下顎の伸びはある程度連動するため、思春期に背が伸びる際に再び反対咬合になることがありますが、治療せず放置した場合、発音や咀嚼、見た目に困難がありますので、一旦は治療した方がよいでしょう。
また、顎のサイズがさほど大きくなく、癖で下あごを前に出していたような場合は比較的短期間で治療が可能ですが、下あごの骨自体が大きい場合、上あごが小さい場合等骨のズレが大きい場合には、歯の移動量が大きく、骨の大きさのコントロールをするため時間がかかることがあります。
また、舌の位置も重要で下の前歯を常に舌で押しているような舌癖がある場合には、訓練してそれをやめなければなりません。

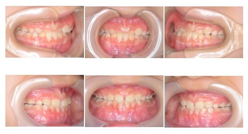
主訴:下の歯が出ている
診断名:反対咬合
年齢: 8歳
装置名:下顎前突用筋機能矯正装置
治療費(施術料 装置料 調整料): 22万(税込み)
治療期間:3か月
考えられるリスク:歯肉退縮 顎関節の痛み 今後成長に伴い再び下顎の成長がおこること

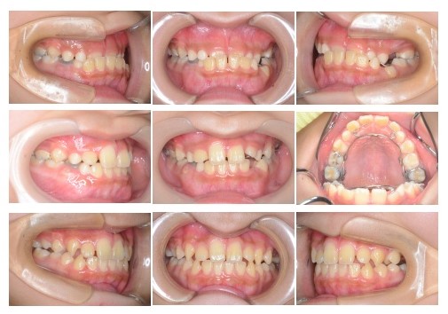
主訴:下の歯が出ている
診断名:反対咬合
年齢: 9歳
装置名:リンガルアーチ
治療費(施術料 装置料 調整料): 31万(税込み)
治療期間:1年6か月
考えられるリスク:歯根吸収 歯の移動時の痛みなど一般的に矯正治療に付随するリスク
歯肉退縮 顎関節の痛み 今後成長に伴い再び下顎の成長がおこること。